After showing no evidence of cancer for eight years, mother-of-two Missy Christy didn’t know how to process the news her disease had returned. This time, as stage 4 melanoma.
“When they told me it was stage 4, I was honestly preparing for the end. I was worried I wasn’t going to be here for my family,” says Missy of Canfield, Ohio. Today, she has new hope after receiving a newly FDA-approved cell therapy, which harnesses the power of a patient’s own T-cells to attack tumors.
Missy’s health journey started in 2013 when she noticed a growth in her tear duct. She says her eye doctor at the time thought it could be from an eye cold, and they decided to monitor it – expecting it to resolve on its own. But by 2014, Missy says the spot tripled in size and started bleeding as well, so she went back to her eye doctor to get it removed. Leading up to the surgery, Missy was close to welcoming her first child into the world. She didn’t expect she’d soon have to grapple with a cancer diagnosis.

Missy learned she had melanoma days after she gave birth to her daughter. (Courtesy: Missy Christy)
“Going into the surgery, they still thought it was a virus in my eye but discovered it was much worse during the procedure and ended up sending a sample to pathology. I had my daughter soon after this and found out I had stage 2 melanoma when she was just 3 days old,” says Missy, who was 32 years old at the time.
Conjunctival melanoma is the specific type of cancer Missy was diagnosed with, which affects the clear tissue that covers the inside of the eyelids and the white part of the eye. It’s a rare type of eye cancer, amounting to about 2% of all tumors in the eye and about 0.25% of all melanomas.
After the diagnosis, Missy came to Cleveland Clinic, where she had surgery to remove the remainder of the tumor. Although there were no signs of cancer remaining following the operation, Missy’s care team closely monitored her since there’s a high risk of recurrence with conjunctival melanoma. After nearly a decade, her cancer returned.

When Missy experienced cancer recurrence, she received immunotherapy as her initial form of treatment. (Courtesy: Missy Christy)
“Although testing revealed it was stage 4 melanoma, my doctors reassured me and quickly came up with a treatment plan,” says Missy.
In 2022, Missy started a type of standard immunotherapy called checkpoint inhibitors. They work by helping the immune system to better find and attack cancer cells, wherever they are in the body. Everyone responds differently to these types of medications, but Missy had a challenging experience.

Missy during a follow-up appointment with Dr. Kennedy, prior to receiving TIL therapy. (Courtesy: Cleveland Clinic)
“I was on this treatment plan for a year and a half, and I experienced every rare side effect from Bell’s palsy to neuropathy,” says Missy. And while it did show promise at first, her cancer started growing again. Because her condition was rare, she didn’t qualify for clinical trials and seemed to be out of options. Her care team continued to investigate alternative therapies – with their sights set on a recently FDA-approved treatment called lifileucel. Also known as TIL therapy, it’s the first cellular therapy for patients with unresectable or metastatic melanoma who haven’t responded to other treatments. Cleveland Clinic is among the first in the U.S. to offer TIL therapy outside of a clinical trial, and Missy is one of the first patients to receive it for solid tumor cancer.
“TIL therapy is an important option, especially for patients who have tried all the standard lines of therapy for melanoma. With lifileucel, we know responses can be very durable,” says Missy’s medical oncologist Lucy Boyce Kennedy, MD.

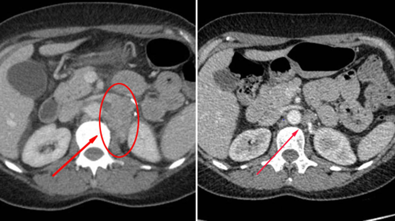
CT scans of Missy's cancer before receiving TIL (left) and 12 weeks after TIL (right). (Courtesy: Cleveland Clinic)
TIL stands for tumor-infiltrating lymphocytes. Lymphocytes are a type of white blood cell that play an essential role in the immune system, including fighting cancer. TILs enter a tumor to attack it. However, with the body’s weakened immune system from cancer, there may not be enough of them to be effective.

TIL therapy is a cellular immunotherapy that amplifies the cancer-fighting immune cells already present in a patient's tumor. (Courtesy: Cleveland Clinic)
According to Missy's doctors, with TIL therapy, a portion of a patient’s tumor is removed and sent to a lab where these tumor-infiltrating lymphocytes are extracted and propagated to create many more of them. They’re then infused back into the patient. Once this happens, the tumor-infiltrating lymphocytes go after the patient’s tumor because they already recognize it from before – there just weren't enough of them.

Doctors performing a biopsy of Missy's tumor. After the procedure, a portion of the tumor is sent to a lab, and her tumor-infiltrating lymphocytes are extracted and harvested to create more. (Courtesy: Cleveland Clinic)
In May 2024, Missy began the TIL therapy process by having surgery to extract a portion of her tumor. After Missy’s own TILs were taken from the tumor and multiplied in a lab, a month and a half later, she underwent chemotherapy so her immune system would accept the new TILs once infused back into her body. After the infusion process, patients receive a medication called interleukin-2 (IL-2) to help activate the TILs to fight the cancer more effectively. Missy recalls the process going smoothly and was thankful she didn’t experience any noteworthy side effects.
“While I was being monitored in the hospital after the therapy, I was alert, walking, even going to the game room with my husband and kids,” recalls Missy.

Missy during a point-of-care visit with John Molina, MD, MEd, and members of Missy's care team. (Courtesy: Cleveland Clinic)
After undergoing TIL therapy, Missy returned to her favorite pastimes, like running, and is enjoying spending time with her husband and two children in between work. Imaging less than six months after treatment showed promising results, with the tumors starting to shrink.
Missy’s care team will continue to closely monitor her to ensure her cancer keeps responding as she gets further out from her treatment.

Missy receiving TIL therapy infusion. (Courtesy: Cleveland Clinic)
Now, at 42 years old, Missy says she’s grateful for the melanoma treatment advancements that have been made from when she was first diagnosed at 32 years old. Missy and her care team hope TIL therapy can help others in similar situations and can potentially be used to treat other cancers in the future.

Missy with her kids and husband months after receiving TIL therapy. (Courtesy: Missy Christy)
“I may not be here right now if it wasn’t for this new treatment that became available soon after we found out my cancer had returned. Being aware of these treatments and advocating for yourself is huge. Don’t give up and keep fighting,” says Missy.
Related Institutes: Cleveland Clinic Cancer Center